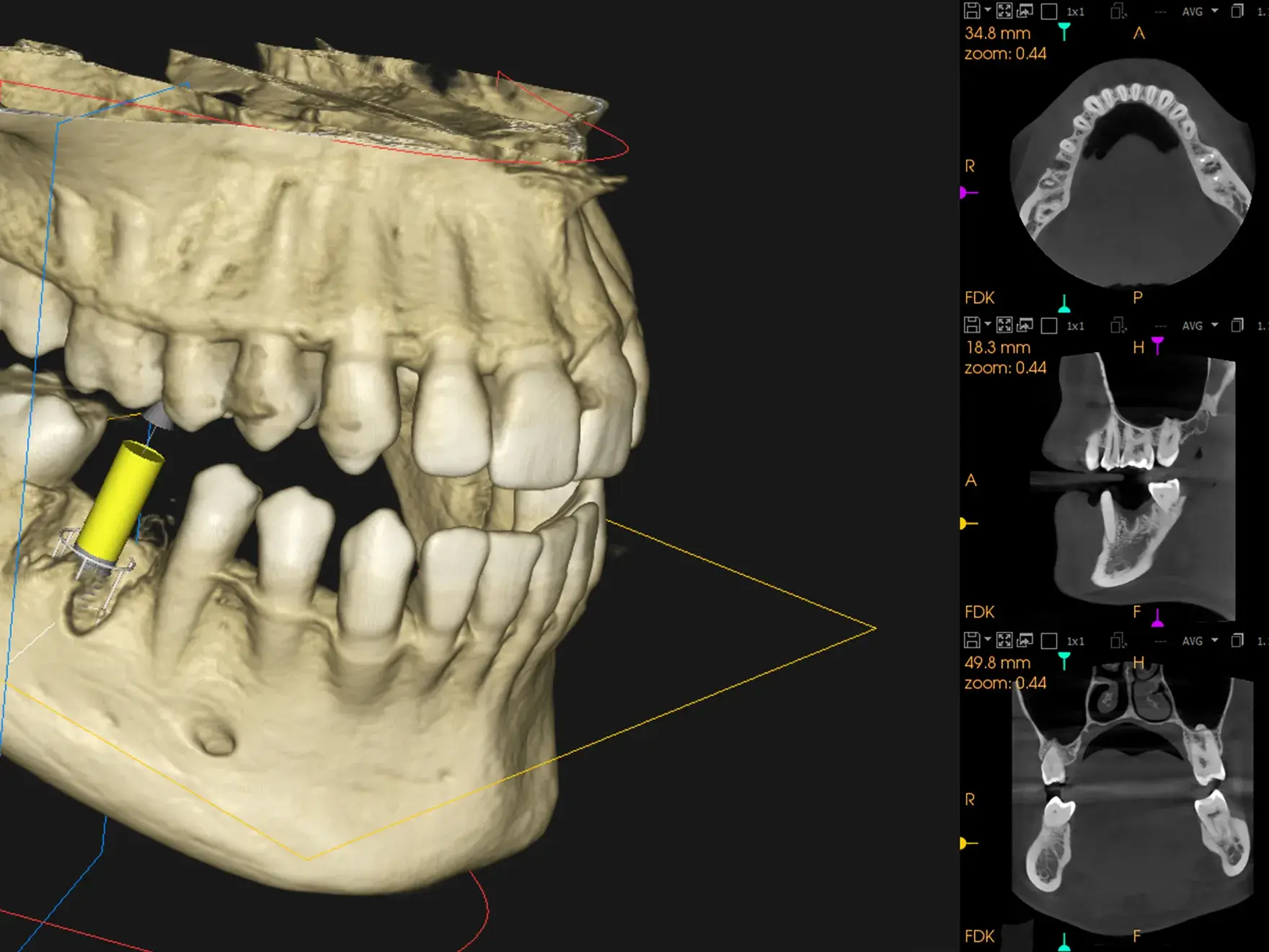
CBCT 3D Imaging
A full picture for safer, more precise care.
- What it does: Produces a 3D scan of your teeth, jawbone, nerves, and sinuses.
- Why it matters: Gives us the clearest view for treatments like implants, extractions, TMJ therapy, and bone grafts.
- Your benefit: Fewer surprises during procedures, improved safety, and more predictable results.

iTero Digital Scanner
Goop-free impressions that make your visits easier.
- What it does: Scans your mouth digitally to create detailed 3D images—no trays or putty required.
- Why it matters: Helps us plan Invisalign, crowns, veneers, and implants with precision.
- Your benefit: Faster appointments, more comfortable impressions, and better-fitting restorations.

Digital X-rays & Intraoral Cameras
See what we see—clearly and early.
- What they do: Capture high-resolution images of your teeth and gums using low-radiation technology.
- Why it matters: Helps us spot cavities, gum issues, or failing restorations early—before they become bigger problems.
- Your benefit: Less radiation, better explanations, and more confidence in your care plan.

Why It All Matters
Technology isn’t about gadgets—it’s about giving you a better dental experience. With every tool we use, our goal is to help you feel more informed, more comfortable, and more in control of your oral health.

Ready for a Better Dental Experience?
We make it simple, comfortable, and stress-free to get the care you need. Contact us today—we’d love to care for your smile.
